联系方式:18052091425(鄂州)

医学科研服务

HE染色法

时间:2024-05-21

HE染色法
       苏木精-伊红染色法简称HE染色法,是最常用的染色方法。苏木精(hematoxylin)是阳离子染料,能够将细胞核内的嗜碱性物质染成蓝紫色。伊红(eosin)是阴离子染料,能够将细胞质和胶原纤维等染成粉红色。
一张做工精良的HE切片是病理医生得以做出正确诊断的关键。HE染色是目前国内外病理诊断上广泛采用的常规染色方法。切片质量的好坏,可直接影响疾病诊断的及时与准确性。
技术原理
       1、细胞核染色原理苏木精为碱性天然染料,可使细胞核着色。细胞核内染色质的成分主要是DNA,在DNA的双螺旋结构中,两条核苷酸链上的磷酸基向外,使DNA双螺旋的外侧带负电荷,呈酸性,很容易与带正电荷的苏木精碱性燃料以离子键或氢键结合而被染色。苏木精在碱性溶液中呈蓝色,所以细胞核被染成蓝色。
       2、细胞浆染色原理细胞浆内主要成分是蛋白质,为两性化合物、细胞浆的染色与pH值有密切关系,当pH调到蛋白质等电点4.7-5.0时,胞浆对外不显电性,此时酸或碱性染料不易染色。当pH调到6.7-6.8时,大于蛋白质的等电点pH值,表现酸性电离,而带负电荷的阴离子,可被带正电荷的染料染色,现时胞核也被染色,核和胞浆难以区分。因此必须把pH调至胞浆等电点以下,在染液中加入醋酸使胞浆带正电荷(阳离子),就可被带负电荷(阴离子)的染料染色。伊红Y是一种化学合成的酸性染料,在水中离解成带负电荷的阴离子,与蛋白质的氨基正电荷(阳离子)结合而使细胞浆染色,细胞浆、红细胞、肌肉、结缔组织,嗜伊红颗料等被感染成不同程度的红色或粉红色,与蓝色的细胞核形成鲜明的对比。
       3、分化作用染色后,用某些特定的溶液将组织过多结合的染色剂脱去,这个过程称为分化作用,所用的溶液称为分化液。在HE染色中用0.5%盐酸乙醇作为分化液,因酸能破坏苏木精的醌型结构,使组织与色素分离而褪色。经苏木精染色后,必须用0.5%盐酸乙醇分化,使细胞核过多结合的苏木精染料和细胞浆吸附的苏木精染料脱去,在进行伊红染色,才能保证细胞核与细胞浆染色的分明。因此,在HE染色中分化是极为关键的一步。
       4、返蓝作用分化之后,苏木精在酸性条件下处于红色离子状态,呈红色,在碱性条件下处于蓝色离子状态,呈蓝色。组织切片经0.5%盐酸乙醇分化后呈红色或粉红色,故分化之后,立即用水除去组织切片上的酸而终止分化,再用弱碱性水(0.2%氨水)使苏木精染上的细胞核呈现蓝色,这个过程称为返蓝作用或蓝化作用。另外用自来水浸洗也可使细胞核返蓝,但所需时间较长。
 
实验步骤

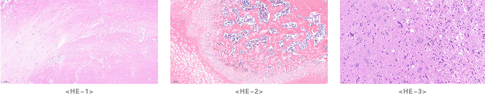
实验结果展示:

注意事项
       1、pH值如果组织块在福尔马林中固定时间长,组织酸化而影响细胞核着色。因此,要在自来水中冲洗时间长一些或在饱和碳酸锂水溶液中处理10-30min,这样可以使细胞核着色较深。染伊红时胞浆着色不佳,可在伊红溶液中滴加1-2滴冰醋酸。
       2、分色时间分色这一步是关键,应在显微镜下控制进行,一般以细胞核染色清楚(晰)而细胞质基本无色为佳。如果过分延长分色时间将导致染色太浅,应重新染色后再行分色。
       3、酒精脱水应彻底切片经酒精脱水后,入二甲苯时可出现白色不透明状态,此为脱水不彻底,应将切片退回无水酒精,更换酒精、二甲苯,以求彻底脱水与透明。切片从二甲苯取出或进入二甲苯前,切片周边均应擦干净或吸干多余水分。
       4、避免切片干燥在染色过程中不要让切片干燥,以免切片收缩、变形,影响神经元形态。
       5、避免切片污染出现切片污染,污染物遮盖该部位的细胞或组织难以观察期形态改变。应定期过滤各种染液和试剂以避免其中的沉淀物所引起的污染。
       6、避免脱蜡不完全冬季室温低时(14℃以下),二甲苯应在水浴缸中适当加温到30℃后再脱蜡,以避免因脱蜡不完全引起的染色不均匀呈雾化状态。
       7、封片注意事项最后封固时,要用中性树脂,防止日后褪色,盖片要选大于组织块的面积,如漏出一部分不久将会褪色,所用树脂浓度要适当,树脂封固时不能有气泡。
 
 
送样运输要求:
       1、样本放置于20倍样本体积的固定液中固定24h以上,常温运输送样。
       2、切勿固定时间过长,切勿冷冻结冰。